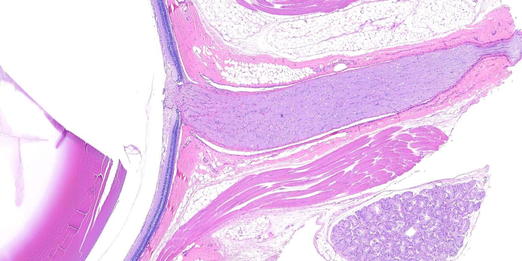
9 月272021最新消息立眾病理 立众病理實驗室一向將病理切片技術視為一門藝術,追求極致的工藝技術,展現精益求精的匠人精神 ! 一個完美的眼球組織切片,需要有純熟的採樣技術、正確的固定液選用、準確的組織修整定位及頂尖的切片技術。立众病理實驗室十年磨一劍,透過經驗的積累、傳承,並與客戶耐心的溝通討論,才能取得如此精美的眼球組織切片!! Post navigationPreviousPrevious post:IHC可見光雙重染色 – 藝術品般的染色表現NextNext post:立众生技獨家代理BioTnA染色試劑套組Related Posts本公司病理獸醫師主任張皓凱,獲邀至2026年中華民國獸醫病理學會之會員大會進行專題演講2026-03-18犬口腔T細胞淋巴瘤 (T cell lymphoma)2022-07-22Picro-Sirius red 天狼星紅染色2022-07-22皮膚專科的病理診斷服務來囉!2022-07-22Modified Movat’s Pentachrome 染色法2022-07-22植物也能做組織切片!!?2022-03-23