Skip to content
[email protected]
Monday – Friday 9 AM – 6 PM
立众生技
LitZungbio Biotechnology, INC.
關於立眾病理
代理廠牌
技術服務
病理組織服務
玻片全景掃描服務
病理判讀服務
臨床前毒理暨安全性評估試驗
生物相容性試驗
相關文獻
最新消息
聯絡我們
關於立眾病理
代理廠牌
技術服務
病理組織服務
玻片全景掃描服務
病理判讀服務
臨床前毒理暨安全性評估試驗
生物相容性試驗
相關文獻
最新消息
聯絡我們
皮膚專科的病理診斷服務來囉!
動物外科病理
,
合作夥伴
,
最新消息
By
立众小編1號
2022-07-22
圓形細胞瘤是犬貓常見的腫瘤類型,一篇精簡的整理各腫瘤重點!
動物外科病理
,
最新消息
By
立众小編1號
2022-02-22
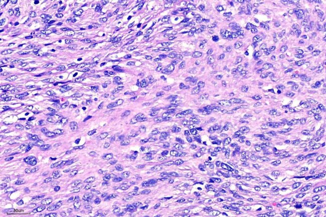
犬傳染性花柳性腫瘤(Canine Transmissible Venereal Tumor, CTVT)
動物外科病理
,
最新消息
By
立众小編1號
2022-02-18
血管壁周圍細胞瘤(Perivascular wall tumor, PWT)
動物外科病理
By
立众小編1號
2021-12-23
藻類 – 狗貓意想不到的致命殺手!
動物外科病理
By
立众小編1號
2021-12-22
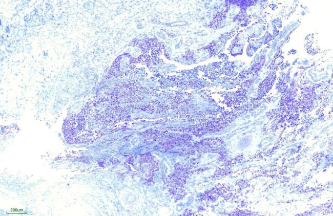
Toluidine blue染色
動物外科病理
,
立眾病理
By
立众小編1號
2021-12-22
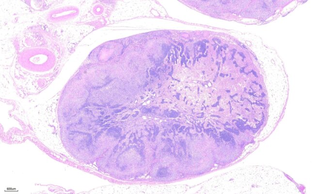
動物外科病理-腫瘤淋巴結轉移
動物外科病理
By
立众小編1號
2021-12-01
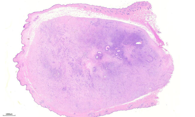
腫瘤轉移-腎臟 Tumor renal metastases
動物外科病理
,
最新消息
By
立众小編1號
2021-08-03
Go to Top