細胞分裂 及 細胞凋亡標記
Biomarkers of the cell proliferation and apoptosis
—————————
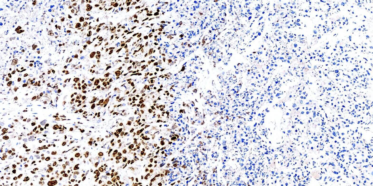
細胞分裂增殖及細胞凋亡是 #腫瘤 相關研究的重要標的。
常用於觀察細胞增殖的生物標記包含有 Ki67、PCNA、MCM 等。
用於觀察細胞凋亡的生物標記,則有 caspas3、TUNEL assay、caspase7 或 AnnexinV assay等多種方法,其中以TUNEL及Caspase 3在組織病理學上應用甚為廣泛。
—————————
染色套組:BioTnA TAHC03D
染色項目:IHC, Ki67及TUNEL assay
組織:小鼠皮下腫瘤













