PAS染色,一種常用於檢測組織中「醣類」的染色方法,染色先使用過碘酸(periodic acid)將組織中醣類相鄰兩個碳原子的羥基(-OH)氧化成醛基(-CHO),後再與許夫試劑(Schiff solution)反應,醣類就會被染成粉紅至桃紅色。
這個染色常用觀察組織中的黏液(mucin)、醣原(glycogen)、軟骨(cartilage)、基底膜(basement membrane)等。病原檢查上則最常用於檢驗組織中的「黴菌」,應用非常廣泛。


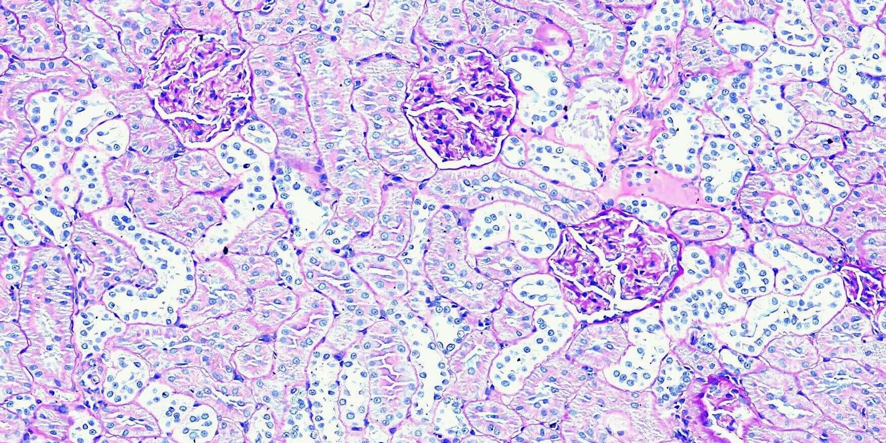
PAS染色主要用於標示組織中的醣類或醣蛋白,於腎臟常用於觀察基底膜(basement membrane)。在有慢性腎損傷,數常見如糖尿病時,常可見基底膜的增厚,於絲球體及鮑氏囊腔即可見大量PAS陽性組織表現。
立众病理實驗室獨家代理的 Biotna PAS 染色套組,能有效且清晰的呈現腎臟基底膜及其它陽性組織,不論配合蘇木紫(hematoxylin)或淺綠(light green)做為背景染色,都可以有漂亮的染色結果。
PAS染色可以搭配各種化學染色,甚至是搭配IHC進行觀察,也都能有漂亮的染色結果。
- PAS搭配hematoxylin及light green做為背景進行病原觀察
https://www.facebook.com/litzungbio/posts/3117781351671766
- PAS搭配anti-ACE2抗體進行IHC染色
https://www.facebook.com/litzungbio/posts/3137992822983952








