Skip to content
[email protected]
Monday – Friday 9 AM – 6 PM
立众生技
LitZungbio Biotechnology, INC.
關於立眾病理
代理廠牌
技術服務
病理組織服務
玻片全景掃描服務
病理判讀服務
臨床前毒理暨安全性評估試驗
生物相容性試驗
相關文獻
最新消息
聯絡我們
關於立眾病理
代理廠牌
技術服務
病理組織服務
玻片全景掃描服務
病理判讀服務
臨床前毒理暨安全性評估試驗
生物相容性試驗
相關文獻
最新消息
聯絡我們
恭喜立众病理實驗室客戶的研究再次登上國際頂尖期刊!
客戶成果
By
立众小編1號
2022-02-22
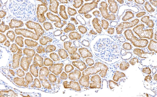
可見光免疫組織化學染色雙染 Immunohistochemical double staining
立眾病理
By
立众小編1號
2022-02-22
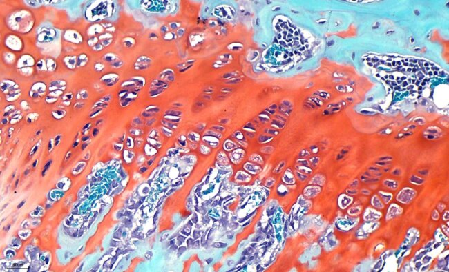
Safranin O stain 番紅染色
最新消息
,
立眾病理
By
立众小編1號
2022-02-22
最佳的免疫化學染色IHC試劑套組
最新消息
,
立眾病理
By
立众小編1號
2022-02-22
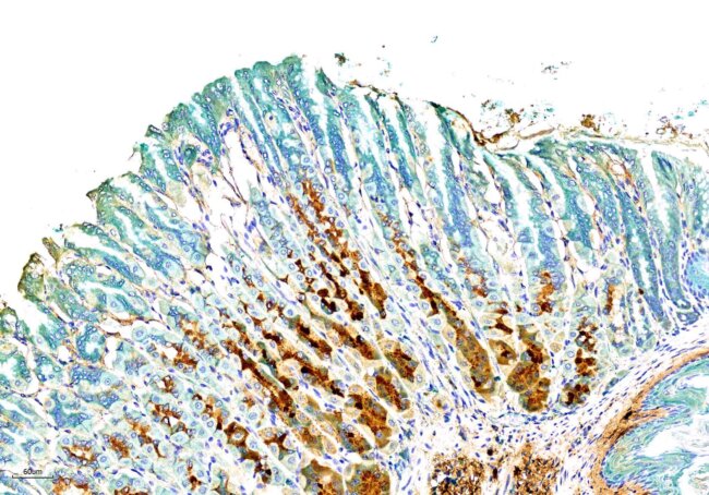
可見光免疫組織化學染色雙染 Immunohistochemical double staining
立眾病理
By
立众小編1號
2022-02-22
圓形細胞瘤是犬貓常見的腫瘤類型,一篇精簡的整理各腫瘤重點!
動物外科病理
,
最新消息
By
立众小編1號
2022-02-22
Go to Top