Skip to content
[email protected]
Monday – Friday 9 AM – 6 PM
立众生技
LitZungbio Biotechnology, INC.
關於立眾病理
代理廠牌
技術服務
病理組織服務
玻片全景掃描服務
病理判讀服務
臨床前毒理暨安全性評估試驗
生物相容性試驗
相關文獻
最新消息
聯絡我們
關於立眾病理
代理廠牌
技術服務
病理組織服務
玻片全景掃描服務
病理判讀服務
臨床前毒理暨安全性評估試驗
生物相容性試驗
相關文獻
最新消息
聯絡我們
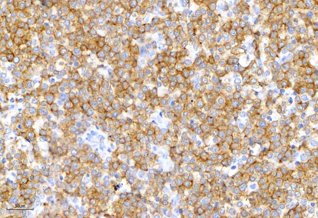
犬口腔T細胞淋巴瘤 (T cell lymphoma)
最新消息
By
立众小編1號
2022-07-22
Picro-Sirius red 天狼星紅染色
最新消息
By
立众小編1號
2022-07-22
皮膚專科的病理診斷服務來囉!
動物外科病理
,
合作夥伴
,
最新消息
By
立众小編1號
2022-07-22
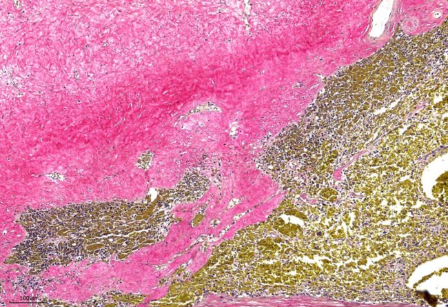
Modified Movat’s Pentachrome 染色法
最新消息
,
立眾病理
By
立众小編1號
2022-07-22
Go to Top