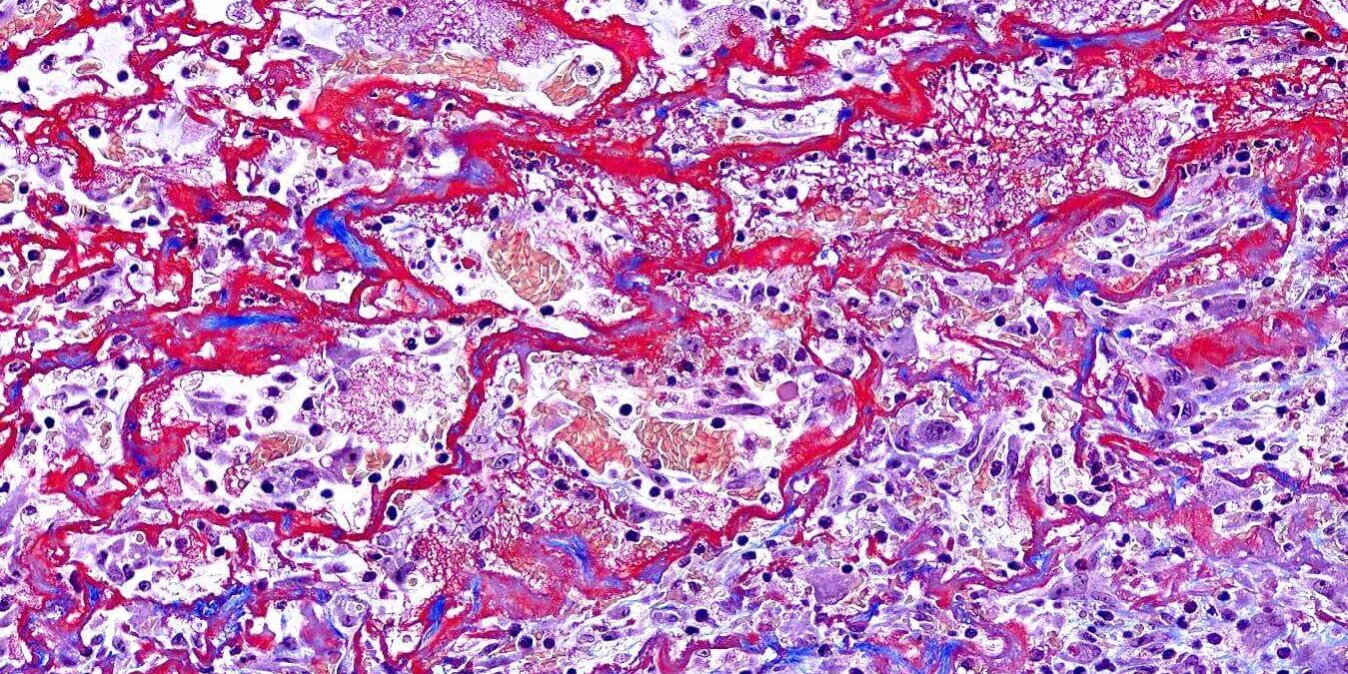
12 月232021立眾病理 皮膚傷口的Masson Trichrome染色 大量紅染的纖維素(fibrin)、膠原纖維(collagen fiber)、滲出液(exudate),還有新生的肉芽組織(granulation tissue)整個混雜在一起,看起來很藝術 —————— 👍👍👍Masson Trichrome染色試劑套組:TASS01 —————— Post navigationPreviousPrevious post:狗的睪丸腫瘤 – 精細胞瘤 seminomaNextNext post:藻類 – 狗貓意想不到的致命殺手!Related PostsModified Movat’s Pentachrome 染色法2022-07-22可見光免疫組織化學染色雙染 Immunohistochemical double staining2022-02-22Safranin O stain 番紅染色2022-02-22最佳的免疫化學染色IHC試劑套組2022-02-22可見光免疫組織化學染色雙染 Immunohistochemical double staining2022-02-22帶大家快速的認識各種切片染色技術!!2022-02-21