狗於池塘戲水後突然死亡的案例時有所聞,主要多是藍綠藻繁殖過多,產生大量毒素積累於池塘中,造成狗意外食入後中毒。
除了綠藻毒素外,另外有一種致命性的藻類感染性疾病 — 原孢囊藻病 (protothecosis),由原孢囊藻引起(Prototheca spp.)。此病會造成犬隻消化系統或皮膚的嚴重疾病。皮膚型的原孢囊藻病,可能造成嚴重的皮膚結節或潰瘍,且難以根治。手術大範切除患部,給予抗黴菌藥可能有效控制病情。但相較於皮膚型的原孢囊藻病,犬更常見的為消化道感染。消化道感染的原孢囊藻病,常演變成擴散型原孢囊藻病(disseminated protothecosis),可能出現消化道、神經系統、眼球、肝、腎、胰臟等多臟器感染。擴散型原孢囊藻病一般難以治療(gravity prognosis),患病的動物可能出現頑固性下痢、血痢、消瘦、眼盲等症狀,以下痢及大腸炎最為常見。



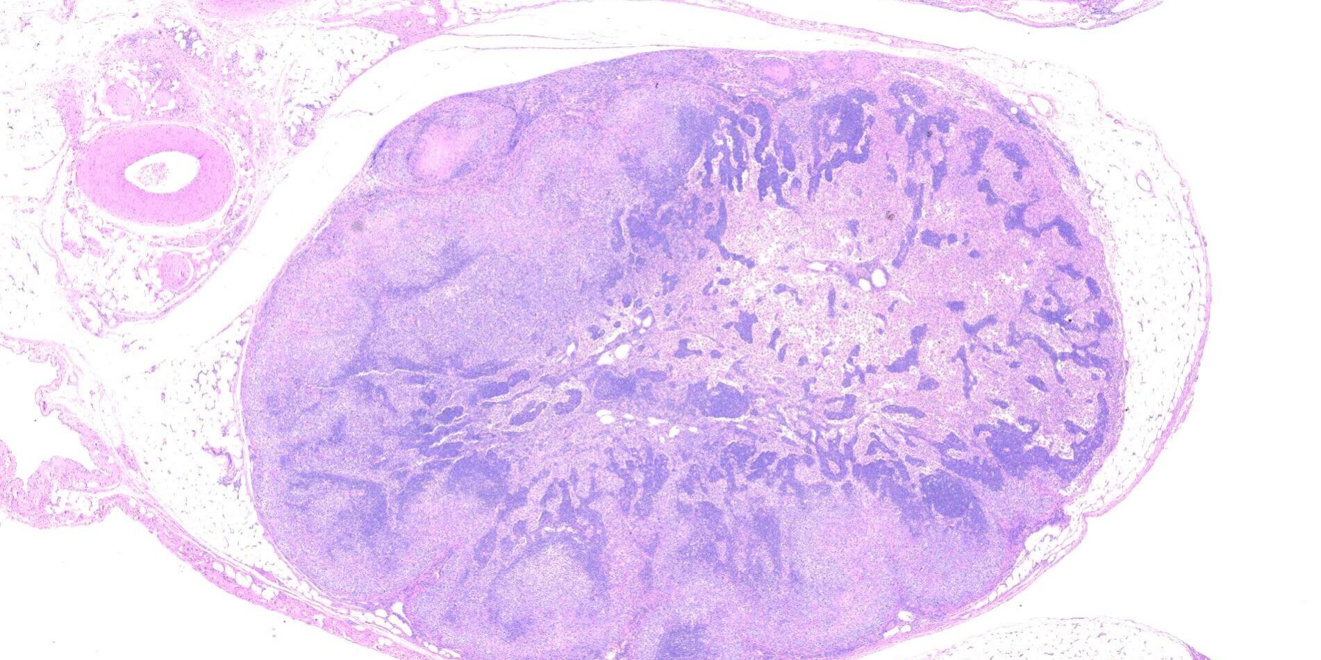
本次的病例是一隻年輕犬隻,臨床主訴是長期血痢、黏液便、眼盲,但精神食慾沒有明顯變化。開腹後有結腸增厚、多發臟器白點、結節生長。病理檢查發現結腸及腸繫膜淋巴結 有嚴重壞死,並且有大量不具染色性的物質堆積。因懷疑有黴菌或藻類感染的可能性,進行Peiodic-Acid Schiff (PAS)染色,結果顯示有大量帶有細胞壁 的橢圓形物質堆積,形態上符合原孢囊藻病。


原孢囊藻病相當罕見,一般發生於嚴重免疫功能缺陷的動物,不論犬、貓、牛,甚至人都會感染,但動物間不會互相傳染。長期的生活環境不良加上病毒感染,可能是造成此病發生的重要因子。如果臨床上有嚴重下痢的動物,且久治不癒,或許應將此病列入考慮。
————————
PAS染色套組:TASS02 BioTnA – Tools of molecular pathology
————————
感謝 長弘動物醫院 提供此罕見病例








