Skip to content
[email protected]
Monday – Friday 9 AM – 6 PM
立众生技
LitZungbio Biotechnology, INC.
關於立眾病理
代理廠牌
技術服務
病理組織服務
玻片全景掃描服務
病理判讀服務
臨床前毒理暨安全性評估試驗
生物相容性試驗
相關文獻
最新消息
聯絡我們
關於立眾病理
代理廠牌
技術服務
病理組織服務
玻片全景掃描服務
病理判讀服務
臨床前毒理暨安全性評估試驗
生物相容性試驗
相關文獻
最新消息
聯絡我們
血管壁周圍細胞瘤(Perivascular wall tumor, PWT)
動物外科病理
By
立众小編1號
2021-12-23
超精密切片-斑馬魚魚苗
最新消息
,
立眾病理
By
立众小編1號
2021-12-23
狗的睪丸腫瘤 – 精細胞瘤 seminoma
最新消息
By
立众小編1號
2021-12-23
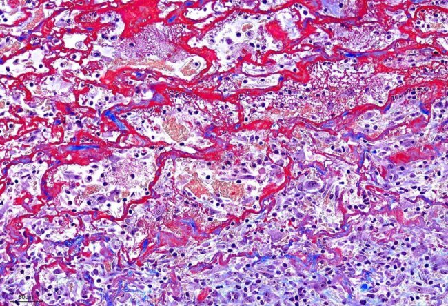
皮膚傷口的Masson Trichrome染色
立眾病理
By
立众小編1號
2021-12-23
Go to Top