Skip to content
[email protected]
Monday – Friday 9 AM – 6 PM
立众生技
LitZungbio Biotechnology, INC.
關於立眾病理
代理廠牌
技術服務
病理組織服務
玻片全景掃描服務
病理判讀服務
臨床前毒理暨安全性評估試驗
生物相容性試驗
相關文獻
最新消息
聯絡我們
關於立眾病理
代理廠牌
技術服務
病理組織服務
玻片全景掃描服務
病理判讀服務
臨床前毒理暨安全性評估試驗
生物相容性試驗
相關文獻
最新消息
聯絡我們
藻類 – 狗貓意想不到的致命殺手!
動物外科病理
By
立众小編1號
2021-12-22
Toluidine blue染色
動物外科病理
,
立眾病理
By
立众小編1號
2021-12-22
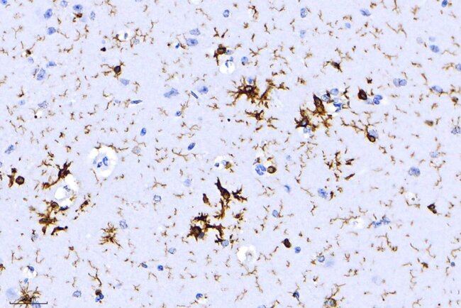
小鼠海馬迴多發局部壞死,以IBA-1進行IHC 染色
立眾病理
By
立众小編1號
2021-12-22
Go to Top