Skip to content
[email protected]
Monday – Friday 9 AM – 6 PM
立众生技
LitZungbio Biotechnology, INC.
關於立眾病理
代理廠牌
技術服務
病理組織服務
玻片全景掃描服務
病理判讀服務
臨床前毒理暨安全性評估試驗
生物相容性試驗
相關文獻
最新消息
聯絡我們
關於立眾病理
代理廠牌
技術服務
病理組織服務
玻片全景掃描服務
病理判讀服務
臨床前毒理暨安全性評估試驗
生物相容性試驗
相關文獻
最新消息
聯絡我們
腎臟組織切片- 免疫螢光染色 (immunofluorescence, IF)
最新消息
,
立眾病理
By
立众小編1號
2021-11-02
恭喜立众病理實驗室客戶的研究再一次登上頂尖國際期刊 !!
客戶成果
,
最新消息
By
立众小編1號
2021-10-25
腸道瑞士捲包埋法(Swiss-rolling Technique for intestinal tissue)
最新消息
,
立眾病理
By
立众小編1號
2021-10-12
IHC可見光雙重染色 – 藝術品般的染色表現
最新消息
,
立眾病理
By
立众小編1號
2021-10-05
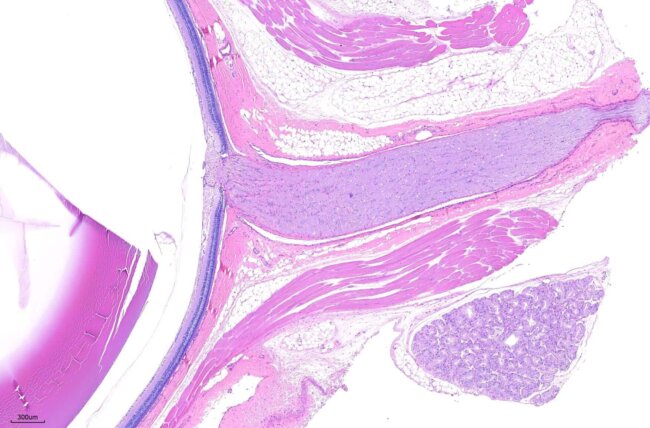
眼球組織切片 – 極緻的切片工藝
最新消息
,
立眾病理
By
立众小編1號
2021-09-27
立众生技獨家代理BioTnA染色試劑套組
最新消息
,
立眾病理
By
立众小編1號
2021-09-22
Periodic Acid Schiff (PAS)染色
最新消息
,
立眾病理
By
立众小編1號
2021-09-13
冷凍微陣列組織(frozen tissue microarray, frozen TMA)包埋及切片
最新消息
,
立眾病理
By
立众小編1號
2021-09-06
恭喜立众病理實驗室客戶的研究再一次登上頂尖國際期刊 !!
客戶成果
,
最新消息
By
立众小編1號
2021-09-02
今天想來點….蝴蝶餅??
最新消息
,
立眾病理
By
立众小編1號
2021-08-23
1
2
3
4
5
Go to Top